Volume 39 Issue 1
May  2025
Turn off MathJax
Article Contents
LI Yuan, BAO Siwei, ZHENG Tao, DENG Yifang, LIU Li. Therapeutic effect of Bafukang suppository on Candida tropicalis infection[J]. Journal of Shanghai University of Engineering Science, 2025, 39(1): 79-85. doi: 10.12299/jsues.23-0232
Citation: LI Yuan, BAO Siwei, ZHENG Tao, DENG Yifang, LIU Li. Therapeutic effect of Bafukang suppository on Candida tropicalis infection[J]. Journal of Shanghai University of Engineering Science, 2025, 39(1): 79-85. doi: 10.12299/jsues.23-0232

Therapeutic effect of Bafukang suppository on Candida tropicalis infection

doi: 10.12299/jsues.23-0232
  • Received Date: 2023-11-20
  • Publish Date: 2025-05-19
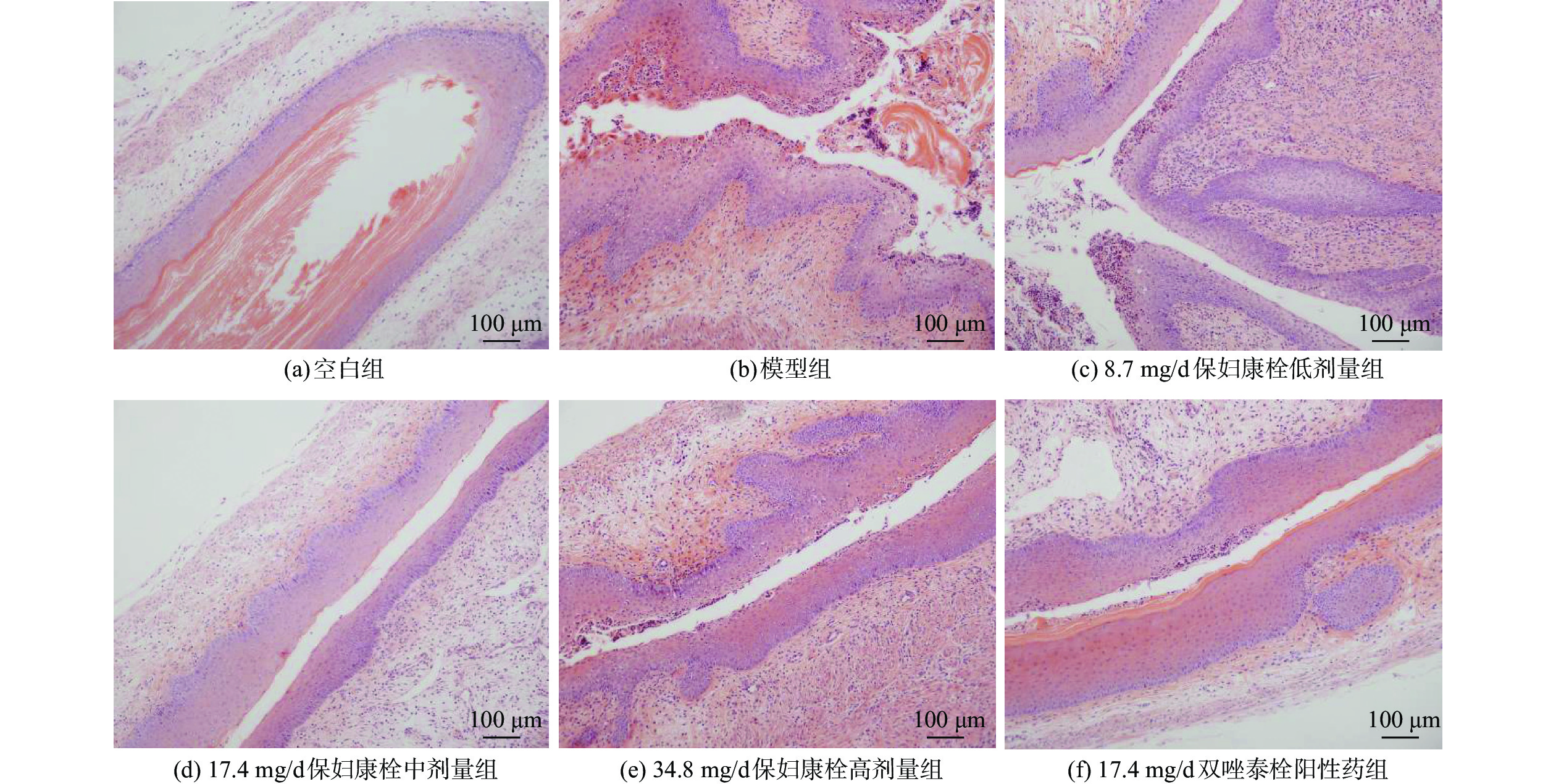
  • To verify the efficacy of Baofukang suppository against Candida tropicalis in vivo and in vitro, a total of 16 clinical strains of Candida tropicalis were collected. The minimum inhibitory concentration (MIC) of Baofukang suppository against Candida tropicalis was determined using microbroth dilution method. The impact on biofilm formation was evaluated by crystal violet staining method, and the alternations in fungus structure was observed using scanning electron microscope (SEM). The vaginal Candida tropicalis infection model in mice was established, changes in vaginal fungus load and vaginal pathology after giving Baofukang suppository were monitored. The results show that Baofukang suppository can inhibit the proliferation and biofilm formation of Candida tropicalis, destroy the cell wall and membrane of Candida tropicalis, effectively relieve vaginal inflammation in mice. Baofukang suppository had obvious inhibitory effect on the growth of Candida tropicalis in vitro and ameliorative effect on vaginitis caused by Candida tropicalis infection in vivo.
  • loading
  • [1]
    BERTOLINI M, RANJAN A, THOMPSON A, et al. Candida albicans induces mucosal bacterial dysbiosis that promotes invasive infection[J] . PLoS Pathogens,2019,15(4):e1007717. doi: 10.1371/journal.ppat.1007717
    [2]
    LAMOTH F, LOCKHART S R, BERKOW E L, et al. Changes in the epidemiological landscape of invasive candidiasis[J] . Journal of Antimicrobial Chemotherapy,2018,73(S1):i4 − i13.
    [3]
    FAN X, XIAO M, ZHANG D, et al. Molecular mechanisms of azole resistance in Candida tropicalis isolates causing invasive candidiasis in China[J] . Clinical Microbiology and Infection,2019,25(7):885 − 891. doi: 10.1016/j.cmi.2018.11.007
    [4]
    PRISTOV K E, GHANNOUM M A. Resistance of Candida to azoles and echinocandins worldwide[J] . Clinical Microbiology and Infection,2019,25(7):792 − 798. doi: 10.1016/j.cmi.2019.03.028
    [5]
    LEE Y, PUUMALA E, ROBBINS N, et al. Antifungal drug resistance: Molecular mechanisms in Candida albicans and beyond[J] . Chemical Reviews,2021,121(6):3390 − 3411. doi: 10.1021/acs.chemrev.0c00199
    [6]
    JAFRI H, AHMAD I. Thymus vulgaris essential oil and thymol inhibit biofilms and interact synergistically with antifungal drugs against drug resistant strains of Candida albicans and Candida tropicalis[J] . Journal de Mycologie Médicale,2020,30(1):100911.
    [7]
    CHEN M W, WANG S P, TAN M, et al. Applications of nanoparticles in herbal medicine: Zedoary turmeric oil and its active compound β-elemene[J] . The American Journal of Chinese Medicine,2011,39(6):1093 − 1102. doi: 10.1142/S0192415X11009421
    [8]
    CHEN Z X, XU Q Q, SHAN C S, et al. Borneol for regulating the permeability of the blood-brain barrier in experimental ischemic stroke: preclinical evidence and possible mechanism[J] . Oxidative Medicine and Cellular Longevity,2019,2019:2936737.
    [9]
    MURPHY S E, BICANIC T. Drug resistance and novel therapeutic approaches in invasive candidiasis[J] . Frontiers in Cellular and Infection Microbiology,2021,11:759408. doi: 10.3389/fcimb.2021.759408
    [10]
    LI T, NIU X X, ZHANG X, et al. Baofukang suppository promotes the repair of vaginal epithelial cells in response to Candida albicans[J] . AMB Express,2016,6(1):109. doi: 10.1186/s13568-016-0281-1
    [11]
    YUE H Z, XU X L, HE S S, et al. Antifungal mechanisms of a Chinese herbal medicine, Cao Huang Gui Xiang, against Candida species[J] . Frontiers in Pharmacology,2022,13:813818. doi: 10.3389/fphar.2022.813818
    [12]
    LOHSE M B, GULATI M, JOHNSON A D, et al. Development and regulation of single- and multi-species Candida albicans biofilms[J] . Nature Reviews Microbiology,2018,16(1):19 − 31. doi: 10.1038/nrmicro.2017.107
    [13]
    RODRÍGUEZ-CERDEIRA C, GREGORIO M C, MOLARES-VILA A, et al. Biofilms and vulvovaginal candidiasis[J] . Colloids and Surfaces B: Biointerfaces,2019,174:110 − 125. doi: 10.1016/j.colsurfb.2018.11.011
    [14]
    SENTHILGANESH J, KUPPUSAMY S, DURAIRAJAN R, et al. Phytolectin nanoconjugates in combination with standard antifungals curb multi-species biofilms and virulence of vulvovaginal candidiasis (VVC) causing Candida albicans and non-albicans Candida[J] . Medical Mycology,2022,60(2):myab083. doi: 10.1093/mmy/myab083
    [15]
    荆翠清. 双唑泰栓联合伊曲康唑治疗念珠菌性阴道炎106例分析[J] . 中外女性健康研究, 2018, 5(10): 91, 166.
  • 加载中

Catalog

    通讯作者: 陈斌, bchen63@163.com
    • 1. 

      沈阳化工大学材料科学与工程学院 沈阳 110142

    1. 本站搜索
    2. 百度学术搜索
    3. 万方数据库搜索
    4. CNKI搜索

    Figures(6)  / Tables(1)

    Article Metrics

    Article views (987) PDF downloads(32) Cited by()
    Proportional views
    Related

    /

    DownLoad:  Full-Size Img  PowerPoint
    Return
    Return